Skip to main content
The Best Bleaching Procedure Ever Developed
A healthy, beautiful smile starts here

The Best Bleaching Procedure Ever Developed | Dentist
Improve your smile today – call to schedule a consultation!
Claim Now!

The Best Bleaching Procedure Ever Developed

Bleaching is painless, harmless and much, much less expensive than extensive cosmetic treatments like bonding and porcelain veneers. 

The procedure involves taking impressions (molds) of your teeth and making custom appliances which the patient uses at home along with the bleaching solutions we provide.  After a couple of weeks (normal time), there is an in-office session where we safely apply a much stronger solution.  Only a dentist can purchase and treat teeth with these chemicals.  When used properly, however, they are totally safe.

There are many over-the-counter products available that claim to lighten teeth.  Also, you may have heard advertisements from dentists claiming to lighten teeth in one visit using a special curing light.  Well, I have studied this procedure extensively and talked to some of the foremost authorities in bleaching technology. 

While it may be possible to achieve some degree of whitening quickly or with over-the-counter products, you cannot achieve a dramatic result without a combination of procedures and solutions over several weeks.  Only a dentist can safely use and apply the really strong chemicals needed to bleach very dark teeth, especially in older individuals. 

So give the Crest Whitening Strips, as well as the many, may whitening toothpastes and mouthwashes a try if you want.  However, don't expect a dramatic result.

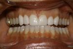
These pictures show the dramatic improvement in the appearance of my own teeth utilizing Deep BleachingTM.  My teeth, while healthy, had always been darker than normal.  My dad has dark teeth as do my two brothers. I have always been a coffee and tea drinker plus I smoked for a number of years.

If Deep BleachingTM will work for me it will very likely work for you, as well.

Frequently Asked Questions

Controlling sensitivity is paramount to successful bleaching and we go to great lengths to control it.  We desensitize your teeth for the in-office portion and provide you with your own desensitizers to use in conjuction with the take home trays and home bleaching products.  We have had great success controlling sensitivity to bleaching solutions.

 

Meet Our Doctor:

Dr. James W. Denny DMD

    Dr. Denny has practiced dentistry for over 20 years and resides in Lexington. He attended the University of South Carolina where he received a Bachelor of Science.  He later graduated from the Medical University of South Carolina with a doctorate in dental medicine.

     Over the years, Dr. Denny has completed far more continuing education than is required, covering all aspects of dentistry.  Also, he completed an extensive course at the Institute for Advanced Studies in Dental Esthetics in New York City where he studied under world renowned cosmetic dentists, Dr. ...

Getting an appointment is fast and easy!
Get Started!