Dr. James Denny, DMD
A Lexington, SC Dentist
Dr. James Denny, DMD
A Lexington, SC Dentist
Schedule an appointment
(803) 358-2211
General and Aesthetic Dentistry
Home
About Us
Our Team
Services
View All
Hygiene and Preventive Care
The Best Bleaching Procedure Ever Developed
Night Guards
Implant Restorations
Fillings
Bridges
Dentures and Partials
Crowns
Veneers
Smile Gallery
Forms
FAQs
View All
Hygiene and Preventive Care
The Best Bleaching Procedure Ever Developed
Night Guards
Implant Restorations
Fillings
Bridges
Dentures and Partials
Crowns
Veneers
Community Page
Contact
Dr. James Denny, DMD
>
Smile Gallery
>
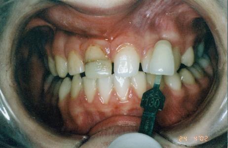
Porcelain Crowns to Restore Broken and Decayed Teeth
Porcelain Crowns to Restore Broken and Decayed Teeth
Return to Smile Gallery
Previous
Next
Related Services:
Crowns
Click an image to see a larger picture
Before
After
Getting an appointment is
fast
and
easy
!
Get Started!
If you have difficulty using our website, please
email us
or call us at
(803) 358-2211
View the
ADA Accessibility Statement
Turn on ADA Views
OK!
×
×
Contact Us Today
Give Us A Call
Dr. James Denny, DMD -
(803) 358-2211
Send Us an Email
Schedule an appointment
Contact
Ready to Schedule an Appointment?
Schedule an appointment
Have Questions? Contact Us:
Required Field
Your Name:
Phone:
Email:
Are you a new patient?:
Are you a?
New Patient
Current Patient
How would you like us to contact you?
Please choose
Email
Call
How did you hear about us?
Please choose
I'm an existing patient
Google/Bing
Mailer
Word of mouth
Social media
Other
Who Referred You?:
Appointment Preferences
Monday
Tuesday
Wednesday
Thursday
Your Message:
This site is protected by reCAPTCHA and the Google
Privacy Policy
and
Terms of Service
apply.
Sending...
×
This Patient's Experience
Loading Testimonial...
Loading Case...